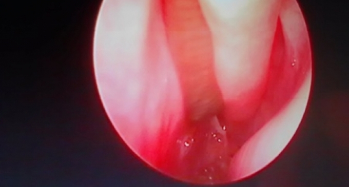
Gắp thành công con vắt trong sống mũi bệnh nhi 2 tuổi


Phát hiện mũi trái của cháu có nhiều máu chảy ra, gia đình mới dọi đèn pin xem và phát hiện con vắt trong hốc mũi. Đồng thời đưa cháu đi bệnh viện để xử lý
Bệnh nhân là bé Hồ Thị Hiền (trú ở xã Ba Tầng, huyện Hướng Hóa) được người nhà đưa về Bệnh viện Đa khoa tỉnh Quảng Trị điều trị ngày 4/7 trong tình trạng chảy nhiều máu ở mũi trái.
Ngay sau khi nhập viện, các bác sĩ khoa Tai - Mũi - Họng đã tiến hành nội soi và xác định có một "dị vật" sống trong hốc mũi trái của bé. Tiếp đó, các bác sĩ đã đưa vào phòng gây mê và gắp thành công dị vật nói trên ra khỏi mũi bệnh nhi.

Các bác sĩ tiến hành gây mê và gắp "dị vật" trong sống mũi bệnh nhân
Theo người nhà nạn nhân cho biết, cách đây 8 ngày, sau khi cháu Hiền đi tắm suối về, người nhà phát hiện cháu bị chảy máu mũi trái. Sau khi lấy đèn pin soi thì thấy một con vắt bò ra ở cửa mũi. Tuy nhiên, thấy ánh sáng là con vắt nhanh chóng chui vào lại trong hốc mũi ẩn nấp nên gia đình không thể bắt được. Gia đình đã đưa đến Bệnh viện Đa khoa Hướng Hóa và bệnh nhi được chuyển về Bệnh viện tỉnh.
Hiện sức khỏe bệnh nhi đang dần bình phục và tiếp tục được chăm sóc tại bệnh viện.
Theo Dân trí
Nên xem
Chính sách mới về tiền lương, thuế có hiệu lực từ năm 2026
Tín dụng xanh: Dòng vốn cho cam kết Net Zero vẫn “khát” cơ chế dẫn dắt
Nâng ngực bằng filler tiềm ẩn nhiều biến chứng nguy hiểm
Chi tiết các điểm bắn pháo hoa chào đón năm mới 2026 tại TP.HCM
TRỰC TUYẾN: Ngày làm việc thứ nhất Đại hội Công đoàn thành phố Hà Nội lần thứ XVIII, nhiệm kỳ 2025 - 2030
Hôm nay (29/12): Diễn ra Đại hội Công đoàn thành phố Hà Nội lần thứ XVIII
10 kết quả nổi bật trong lĩnh vực Giáo dục và Đào tạo năm 2025
Tin khác
Nâng ngực bằng filler tiềm ẩn nhiều biến chứng nguy hiểm
Y tế 29/12/2025 14:42
Ứng dụng thiết bị bay không người lái trong vận chuyển y tế tại Hà Nội
Y tế 26/12/2025 11:41
Tiếp tục nâng cao chất lượng chăm sóc sức khỏe nhân dân
Y tế 25/12/2025 21:31
Ông Nguyễn Trọng Diện được bổ nhiệm giữ chức vụ Giám đốc Sở Y tế Hà Nội
Y tế 24/12/2025 18:57
Hà Nội ghi nhận thêm 117 trường hợp mắc sốt xuất huyết trong tuần
Y tế 22/12/2025 14:08
Phát hiện sớm, quản lý hiệu quả bệnh không lây nhiễm tại Hà Nội
Y tế 20/12/2025 10:15
Chính thức khánh thành cơ sở 2 của hai Bệnh viện Bạch Mai và Hữu nghị Việt Đức
Y tế 19/12/2025 15:45
Hành trình làm mẹ kỳ diệu của sản phụ đa u xơ tử cung nhờ kỹ thuật US-HIFU
Y tế 18/12/2025 14:49
Luật Phòng bệnh năm 2025: Thêm nhiều quyền lợi cho người dân
Y tế 16/12/2025 16:07
Bộ Y tế bảo đảm công tác y tế phục vụ Đại hội XIV của Đảng
Y tế 16/12/2025 14:57